来自大洋彼岸的信任——市六院实施3D腹腔镜下胰腺局部切除术 精准切除距主胰管仅2毫米的肿瘤保证胰腺功能
- 2024-05-17
近日,沈阳市第六人民医院(沈阳市肝胆外科医院)院长徐进教授主刀,为胰腺肿瘤病人王女士成功实施3D腹腔镜下胰腺局部切除术,在术中超声精准定位下,成功切除距主胰管仅2毫米的胰腺背侧肿瘤的同时,保证了主胰管的完好无损和胰腺功能,满足了病人和家属“切瘤保胰,正常生活”的需求,也填补了市级医院治疗同类疾病的空白。

王女士和女儿一家生活在大洋彼岸的美国,她最近添了个烦心事,在美国体检时发现胰腺肿物,肿物位置极其特殊,夹在胰腺颈部和门静脉之间,对后方血管和主胰管有明显压迫。经过CT、磁共振检查考虑为胰腺脂肪瘤,虽然没有症状,但仍给王女士带来了沉重的心理负担,成了一块心病,每天寝食难安,严重影响正常生活。在和家人商量后,她毅然决然要回国手术切掉肿瘤。
回国后的求医之路并不顺利,辗转多家大型医院,王女士均被告知可能无法单纯切除肿瘤,只能进行胰腺中段切除、胰腺体尾切除或者胰十二指肠切除。这些都会极大损害胰腺功能,手术风险也极大,术后的生活质量将受到严重影响。能不能有一个既切除肿瘤,又能保护胰腺的办法呢?后来王女士了解到市六院徐进院长是国内著名肝胆胰腺外科专家、省内腹腔镜胰腺手术第一人,便慕名来到市六院寻求帮助。

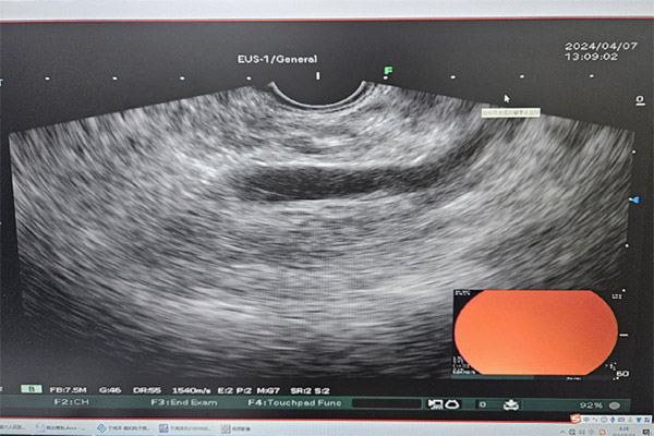
▲病人术前超声内镜检查影像
结合王女士的检查结果,从医三十年的徐进院长认为可以手术切除肿瘤。“您 的肿瘤几乎贴近主胰管,术中主胰管一旦损伤是很难修复的,到时只能被迫切除更多的胰腺。我们利用3D腹腔镜技术来切除肿瘤,视野放大,更加清晰,能大大提 高手术的精确度,降低操作的风险,而且对您的损伤也更小。目前医院设备条件、团队技术水平和临床经验已经完全满足手术的要求。”听了徐进院长的话,王女士 频频点头表示认可。
术前,徐进院长组织普外科、超声科、影像科、麻醉科专家开展MDT,经过充分讨论决定利用3D腹腔镜技术配合腹腔镜超声技术,精准实施胰腺局部切除。腹腔镜超声能精准地对肿瘤进行定位,明确肿瘤与相邻器官、血管的位置关系,3D腹腔镜有效放大手术视野,便于开展精准操作,加上徐进院长极其丰富的临床经验,可以最大限度保护主胰管,减少胰腺的损伤,进而保证胰腺功能和病人术后生活质量。

▲术中利用腹腔镜超声定位病灶(左),并在3D腹腔镜辅助下切除(右)
术中,徐进院长以娴熟的腔镜技术,精准找到病灶。虽然有大量的胰腺手术经验,但看到病灶的时候还是倒吸了一口凉气。病灶的确是非常棘手,它完全嵌入胰腺组织,没有边界,对门静脉压迫也非常明显。为了进一步掌握肿物情况,徐进院长采取了一个大胆、创新的手术方式,将胰腺颈体部充分游离并完全翻转,在超声科协助下利用腹腔镜超声技术,从胰腺正背侧反复辨认胰管与肿瘤关系,发现肿物横亘在肠系膜上静脉之上,距主胰管仅2毫米。透过3D腹腔镜的实时立体图像,徐进院长小心翼翼地分离胰腺与门静脉-肠系膜上静脉的间隙,像镌刻艺术品一样,一点点剥离瘤体直至完全暴露在视野中,精准地将肿瘤切除。切除后再次超声确认无胰管损伤。手术仅用时2小时,出血量不足10毫升。术后病理证实为良性肿瘤。

▲切除的病灶
对于王女士来说,手术十分成功,她不仅没有出现胰瘘等任何并发症,胰腺功能也恢复了正常。“肚子里的‘炸弹’可算被拆了,我也能像正常人一样,不用再提心吊胆了。这都要感谢沈阳六院的专家,帮我重新找回了健康的人生,我可以回美国继续带我的外孙女了!”术后5天,治愈出院的王女士临别时激动地说道。
在肝胆胰腺微创治疗领域,沈阳市第六人民医院作为沈阳市肝胆外科医院、沈阳市肝癌诊治中心,始终坚持专科专业化治疗理念,以地区领先、国内一流、对标国际的标准,不断满足省内外疑难重症病患的治疗需求,用成功的诊疗实践切实推进“解民忧、纾民困、暖民心”行动,全力守护人民群众的身体健康和生命安全。
