一抹“荧光绿”指引他勇闯手术“禁区”——市六院徐进院长主刀为复杂的肝癌病人实施荧光腹腔镜肝段切除 精确切除病灶解决顽疾
- 2024-05-17
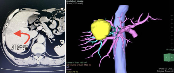
直径4厘米的肿瘤,不偏不倚长在了曾被视为手术“禁区”的肝脏顶部(S8段),这里血管、神经密集,暴露困难、大出血风险高,那么该如何既治愈疾病又保证病人的安全?近日,沈阳市第六人民医院(沈阳市肝胆外科医院)院长徐进教授亲自主刀,带领普外二科王玉文团队参照国际标准,联合应用荧光腹腔镜技术和术中超声完成一例肝S8段切除,安全、精准、高效地为病人解决了疾病困扰。这次勇闯“禁区”的成功,标志着市六院应用腹腔镜实施复杂的肝胆胰微创手术已成为常规化,医院对大型手术的承接能力以及微创化、高精准的诊疗技术,也达到了地区的领先水平。

42岁的丁先 生患慢性乙肝多年,最近体检发现肝脏顶部(S8段)占位性病变、甲胎蛋白升高,这些都与肝癌相关。于是他赶忙到家附近的医院接受了增强CT和增强磁共振检 查,结果显示为肝细胞癌,病灶直径达4厘米。作为一个老沈阳人,丁先生果断来到作为沈阳市肝癌诊治中心的市六院,向国内著名肝胆胰外科专家徐进院长寻求治 疗。

通过一系列专业、完善的检查,徐进院长明确了肝癌的诊断。“早期诊断、早期采用以手术切除为主的综合治疗,是提高肝癌病人长期治疗效果的关键。从病人角度考虑,损伤小、恢复快的微创腹腔镜肝切除无疑是最佳选项,但由于丁先生病变的体积大,所在位置血管、胆管和神经密布,极易发生术中大出血,甚至危及生命,这给医生的操作和技术提出了非常高的要求。”在看过肝部影像、计算机3D模拟图像后,徐进院长说道。
为了保证治疗效果与术中安全,徐进院长按惯例组织了术前多学科会诊(MDT)。经过专家们的讨论,大家一致认为可以应用荧光腹腔镜导航技术为病人实施肝癌切除手术,同时针对性制定了安全、可行的手术治疗方案。病人注射荧光剂后,术中通过荧光显影可清晰显示肿瘤边界,设定切除路线,帮助医生精准、完整切除病变组织,将操作风险降到最低。这相当于在徐进院长丰富的腹腔镜操作经验之上,又给手术增加了一道“可视导航”的安全保障,也让一直心神不安的丁先生和家人放心下来。

▲术中病变组织荧光显影效果(荧光绿部分)
术前检查排除禁忌症后,丁先生接受了荧光腹腔镜肝S8段切除。术中,徐进院长通过病人腹部5个小切口置入器械,利用腹腔镜超声结合荧光染色技术,先进的术中超声作为“第 三只眼”,精准定位了目标肿物和目标肝静脉的位置,避免术中在肝内“迷失方向”。最终,在徐进院长精细娴熟的操作下,病灶被完整切除,且未发生大出血等不 良情况,他还对腹部本就不大的切口进行了美容缝合,在治疗效果上达到精益求精。整台手术仅耗时两小时,丁先生术中术后状态稳定,现已康复出院。

▲术中切除的病变组织
沈阳市第六人民医院走过九十载春秋,以“博 极医源,广洒仁爱”的院训指引着每一位六院人,始终将“以病人为中心”的理念牢记在心间,贯彻到救死扶伤的实践中。围绕肝胆胰外科专业优势,针对疑难重症 病患,选择最佳手术方案,合理施用尖端技术,追求术中完美操作,大到病变组织精准切除,小到微创切口美容缝合,于细节处见真章,全面践行“解民忧、纾民困、暖民心”民生实事行动,为病人解除痛苦、带来希望。
