一台“三合一”的手术,一位医者的选择和担当
- 2023-06-02
面对年近七旬患者“右肺上叶占位,前纵隔肿物”的检查结果,是依照常规方式行多次手术切除,还是为了减少患者损伤挑战“一次性”解决全部问题?沈阳市第六人民医院胸心外科主任舒健毅然选择了后者。

近日,这台历时4个小时,一次性行右肺上叶切除术、纵隔淋巴结清扫术、纵隔肿物切除术的“三合一”单孔胸腔镜手术,在医患双方的共同努力下圆满完成,这也为患者王大哥开展后续针对性治疗扫清了障碍。
王大哥今年67岁,是一名朴实的农民,之前没得过什么大病,连医院都很少去。就在几个月前,他突然感到胸部不适、呼吸费力,一开始并没有在意,但随着症状不断加重,王大哥开始有些慌了。
在家人的陪同下,王大哥来到了沈阳六院胸心外科。“当时是感觉挺害怕的,可也没想到这么严重……”王大哥开始还很乐观,可等检查结果一出来,全家人都傻了眼。

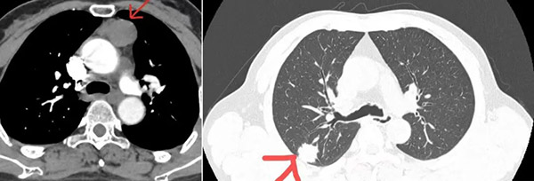
“看胸部CT检查结果,您右肺上叶占位、前纵隔肿物,考虑是肿瘤,需要手术切除……”听着舒主任的说明,王大哥瞬间觉得天都塌了,一家人陷入深深的焦虑之中。
“如 果采取传统的手术方式需要开胸,甚至得劈开胸骨,即便是非开胸的多孔胸腔镜手术,也要分多次进行,不仅费用较高,患者身体也会遭受多次损伤,不利于恢 复。”站在患者的角度考虑,舒主任决定通过单孔胸腔镜为王大哥一次性行右肺上叶切除术、纵隔淋巴结清扫术、纵隔肿物切除术,最大限度减少痛苦、降低开销。
由于这台“三合一”的单孔胸腔镜手术不同以往,其中的困难可想而知。不过,丰富经验、技术娴熟的舒主任对手术仍然充满了信心。

经过详细的术前检查,王大哥接受了这台改变他命运的手术。单孔胸腔镜手术的难度本身就要比多孔的高,并且王大哥的病变位置靠上,操作空间更小,同时肿物位于纵隔深处主动脉弓上,周围都是心肺大血管,手术的风险陡增。术中,舒主任精准操作、步步为营,最终将肿物顺利切除。
经术后病理检验,王大哥右肺上叶腺癌、纵隔支气管囊肿,舒主任建议其后续进行基因检测,争取靶向治疗。得知结果后,悬在王大哥和家人心头的一块石头终于落了地。与此同时,王大哥的恢复情况也令人欣喜,术后4天拔除了胸腔引流管,第6天便顺利出院。
“舒主任为我们患者着想,冒着这么大的风险给我动手术,我们一家人都很感动,这也给了我继续治疗的决心和动力!”出院之际,王大哥的真情流露让在场的医护人员都倍感欣慰。

【专家简介】 舒健 副主任医师 沈阳市第六人民医院 胸心外科主任 毕业于吉林大学,曾在辽宁省肿瘤医院、北部战区总医院进修学习。 辽宁省细胞生物学学会心血管外科专业委员会理事,辽宁省住院医师规范化培训基地胸心外科指导教师。 擅长胸腔镜下自发性气胸手术治疗,胸腔镜下肺癌根治手术治疗,胸腔镜下纵隔肿瘤手术治疗,肺结节消融治疗,食管癌根治术,胸部创伤多发肋骨骨折连枷胸、胸骨骨折内固定手术治疗。能熟练使用呼吸机救治危重患者,能够完成体外循环心脏直视手术及心脏微创手术治疗。
